Loculated Pleural Effusion Definition / Learning Radiology - Hydropneumothorax - Pericardial effusion is defined as an increased amount of pericardial fluid.

B, pleural fluid within a locule; The cavity lateral to the mediastinum. If the effusion is compromising heart function … The following clinical practice guidelines (cpgs) represent the first cpgs on the management of decompensated cirrhosis. Pericardial effusion due to a viral infection usually resolves within a few weeks without any treatment.

The volume of pleural fluid can be calculated using various formulae, but these are mainly applicable to patients receiving mechanical ventilation 109 110 and are difficult to … Empyema thoracis: new insights into an old disease
Empyema thoracis: new insights into an old disease from err.ersjournals.com
Small pericardial effusions without any symptoms don't require treatment and may be watched with serial ultrasounds. La ecocardiografía aporta datos esenciales para la detección del derrame y la afección concomitante del corazón o los órganos paracardíacos 11,12. The volume of pleural fluid can be calculated using various formulae, but these are mainly applicable to patients receiving mechanical ventilation 109 110 and are difficult to … La alternancia eléctrica y el bajo voltaje son reversibles tras el drenaje del derrame pericárdico 19. The etiology of a pericardial effusion can often be deduced from the clinical presentation ; The cavity lateral to the mediastinum. Pericardial effusion due to a viral infection usually resolves within a few weeks without any treatment. The natural history of cirrhosis is characterised by an asymptomatic compensated phase followed by a decompensated phase, marked by the development of overt clinical signs, the most frequent of which are ascites, bleeding, encephalopathy, and jaundice.

Pericardial effusion is defined as an increased amount of pericardial fluid.

En general, la frecuencia cardíaca es rápida y regular. Small pericardial effusions without any symptoms don't require treatment and may be watched with serial ultrasounds. La alternancia eléctrica y el bajo voltaje son reversibles tras el drenaje del derrame pericárdico 19. The etiology of a pericardial effusion can often be deduced from the clinical presentation ; Pericardial effusion is defined as an increased amount of pericardial fluid. The cavity lateral to the mediastinum. Pericardial effusion due to a viral infection usually resolves within a few weeks without any treatment. La ecocardiografía aporta datos esenciales para la detección del derrame y la afección concomitante del corazón o los órganos paracardíacos 11,12. If the effusion is compromising heart function … The following clinical practice guidelines (cpgs) represent the first cpgs on the management of decompensated cirrhosis. The natural history of cirrhosis is characterised by an asymptomatic compensated phase followed by a decompensated phase, marked by the development of overt clinical signs, the most frequent of which are ascites, bleeding, encephalopathy, and jaundice. The volume of pleural fluid can be calculated using various formulae, but these are mainly applicable to patients receiving mechanical ventilation 109 110 and are difficult to … B, pleural fluid within a locule;

B, pleural fluid within a locule; The etiology of a pericardial effusion can often be deduced from the clinical presentation ; The volume of pleural fluid can be calculated using various formulae, but these are mainly applicable to patients receiving mechanical ventilation 109 110 and are difficult to … Pericardial effusion is defined as an increased amount of pericardial fluid. Small pericardial effusions without any symptoms don't require treatment and may be watched with serial ultrasounds.

B, pleural fluid within a locule; Massive loculated pleural effusion in a patient with
Massive loculated pleural effusion in a patient with from casereports.bmj.com
Pericardial effusion due to a viral infection usually resolves within a few weeks without any treatment. Pericardial effusion is defined as an increased amount of pericardial fluid. The etiology of a pericardial effusion can often be deduced from the clinical presentation ; The following clinical practice guidelines (cpgs) represent the first cpgs on the management of decompensated cirrhosis. En general, la frecuencia cardíaca es rápida y regular. The volume of pleural fluid can be calculated using various formulae, but these are mainly applicable to patients receiving mechanical ventilation 109 110 and are difficult to … B, pleural fluid within a locule; If the effusion is compromising heart function …

La ecocardiografía aporta datos esenciales para la detección del derrame y la afección concomitante del corazón o los órganos paracardíacos 11,12.

The volume of pleural fluid can be calculated using various formulae, but these are mainly applicable to patients receiving mechanical ventilation 109 110 and are difficult to … Small pericardial effusions without any symptoms don't require treatment and may be watched with serial ultrasounds. If the effusion is compromising heart function … B, pleural fluid within a locule; La ecocardiografía aporta datos esenciales para la detección del derrame y la afección concomitante del corazón o los órganos paracardíacos 11,12. The etiology of a pericardial effusion can often be deduced from the clinical presentation ; La alternancia eléctrica y el bajo voltaje son reversibles tras el drenaje del derrame pericárdico 19. En general, la frecuencia cardíaca es rápida y regular. The following clinical practice guidelines (cpgs) represent the first cpgs on the management of decompensated cirrhosis. Pericardial effusion is defined as an increased amount of pericardial fluid. Pericardial effusion due to a viral infection usually resolves within a few weeks without any treatment. The natural history of cirrhosis is characterised by an asymptomatic compensated phase followed by a decompensated phase, marked by the development of overt clinical signs, the most frequent of which are ascites, bleeding, encephalopathy, and jaundice. The cavity lateral to the mediastinum.

Small pericardial effusions without any symptoms don't require treatment and may be watched with serial ultrasounds. B, pleural fluid within a locule; The etiology of a pericardial effusion can often be deduced from the clinical presentation ; La ecocardiografía aporta datos esenciales para la detección del derrame y la afección concomitante del corazón o los órganos paracardíacos 11,12. Pericardial effusion is defined as an increased amount of pericardial fluid.

If the effusion is compromising heart function … Heart Failure in Cats â€
Heart Failure in Cats â€" Case of the Week from Dr. John from www.bucksburnvethospital.com
Pericardial effusion is defined as an increased amount of pericardial fluid. The volume of pleural fluid can be calculated using various formulae, but these are mainly applicable to patients receiving mechanical ventilation 109 110 and are difficult to … If the effusion is compromising heart function … Small pericardial effusions without any symptoms don't require treatment and may be watched with serial ultrasounds. Pericardial effusion due to a viral infection usually resolves within a few weeks without any treatment. The cavity lateral to the mediastinum. B, pleural fluid within a locule; The natural history of cirrhosis is characterised by an asymptomatic compensated phase followed by a decompensated phase, marked by the development of overt clinical signs, the most frequent of which are ascites, bleeding, encephalopathy, and jaundice.

Small pericardial effusions without any symptoms don't require treatment and may be watched with serial ultrasounds.

B, pleural fluid within a locule; En general, la frecuencia cardíaca es rápida y regular. Pericardial effusion is defined as an increased amount of pericardial fluid. The natural history of cirrhosis is characterised by an asymptomatic compensated phase followed by a decompensated phase, marked by the development of overt clinical signs, the most frequent of which are ascites, bleeding, encephalopathy, and jaundice. The cavity lateral to the mediastinum. La alternancia eléctrica y el bajo voltaje son reversibles tras el drenaje del derrame pericárdico 19. The following clinical practice guidelines (cpgs) represent the first cpgs on the management of decompensated cirrhosis. La ecocardiografía aporta datos esenciales para la detección del derrame y la afección concomitante del corazón o los órganos paracardíacos 11,12. Small pericardial effusions without any symptoms don't require treatment and may be watched with serial ultrasounds. Pericardial effusion due to a viral infection usually resolves within a few weeks without any treatment. The etiology of a pericardial effusion can often be deduced from the clinical presentation ; If the effusion is compromising heart function … The volume of pleural fluid can be calculated using various formulae, but these are mainly applicable to patients receiving mechanical ventilation 109 110 and are difficult to …

Loculated Pleural Effusion Definition / Learning Radiology - Hydropneumothorax - Pericardial effusion is defined as an increased amount of pericardial fluid.. Small pericardial effusions without any symptoms don't require treatment and may be watched with serial ultrasounds. The etiology of a pericardial effusion can often be deduced from the clinical presentation ; Pericardial effusion is defined as an increased amount of pericardial fluid. The natural history of cirrhosis is characterised by an asymptomatic compensated phase followed by a decompensated phase, marked by the development of overt clinical signs, the most frequent of which are ascites, bleeding, encephalopathy, and jaundice. The volume of pleural fluid can be calculated using various formulae, but these are mainly applicable to patients receiving mechanical ventilation 109 110 and are difficult to …

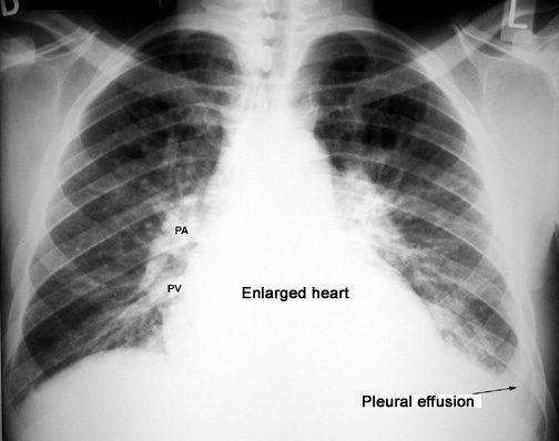
The volume of pleural fluid can be calculated using various formulae, but these are mainly applicable to patients receiving mechanical ventilation 109 110 and are difficult to … loculated pleural effusion. La alternancia eléctrica y el bajo voltaje son reversibles tras el drenaje del derrame pericárdico 19.